When Are Dental Implants Recommended?
Dental implants are recommended for patients seeking a durable, long-term solution to restore function and appearance, especially when other restorative options aren’t ideal. Some cases when we would recommend dental implants are: Missing teeth: Whether due to injury, decay, or gum disease, implants are recommended to fill gaps left by missing teeth, helping to restore function, appearance, and oral health. Severe tooth damage or decay: When a tooth is so damaged that it cannot be restored with a filling, crown, or root canal, extraction and replacement with a dental implant may be the best option. To prevent bone loss: After a tooth is lost, the jawbone in that area can begin to shrink (resorb) over time. Implants help preserve the bone by providing stimulation, which maintains the bone structure. Support for dentures or bridges: Implants can provide a solid foundation for bridges or dentures, making them more secure and comfortable than traditional options. |
Enhanced stability for adjacent teeth: If a missing tooth is left untreated, neighboring teeth may shift out of alignment. Placing a dental implant can prevent this movement, maintaining the structure of the bite.
We recommend scheduling a visit to our clinic to do a checkup and consult with our dentists who will work together with you to discover the best treatment and procedure options for your specific situation.
Step 1: A Consultation Tailored to You
This is your first, important step—and we promise it’s a simple one. We’ll meet with you to understand your concerns, answer all your questions, and make sure you feel confident moving forward.
What to expect: No rush, no pressure—just a conversation. We’ll assess your dental health with a gentle exam and 3D scans, giving you a clear picture of how implants can help you. Whether you’re worried about pain, cost, or just the unknown, we’re here to guide you through it all and work together with you to discover the best path forward.
Step 2: Implant Placement – Comfort First
If you’re anxious about the procedure, you’re not alone. Many patients feel the same way, but the good news is that we make the process as comfortable as possible. With advanced technology and a focus on your comfort, the placement is quick and minimally invasive.
What to expect: A local anesthetic ensures you won’t feel pain, and we’ll take extra care to make sure you’re relaxed throughout. Most patients are surprised by how straightforward it feels, and you can return to your regular routine the same day.
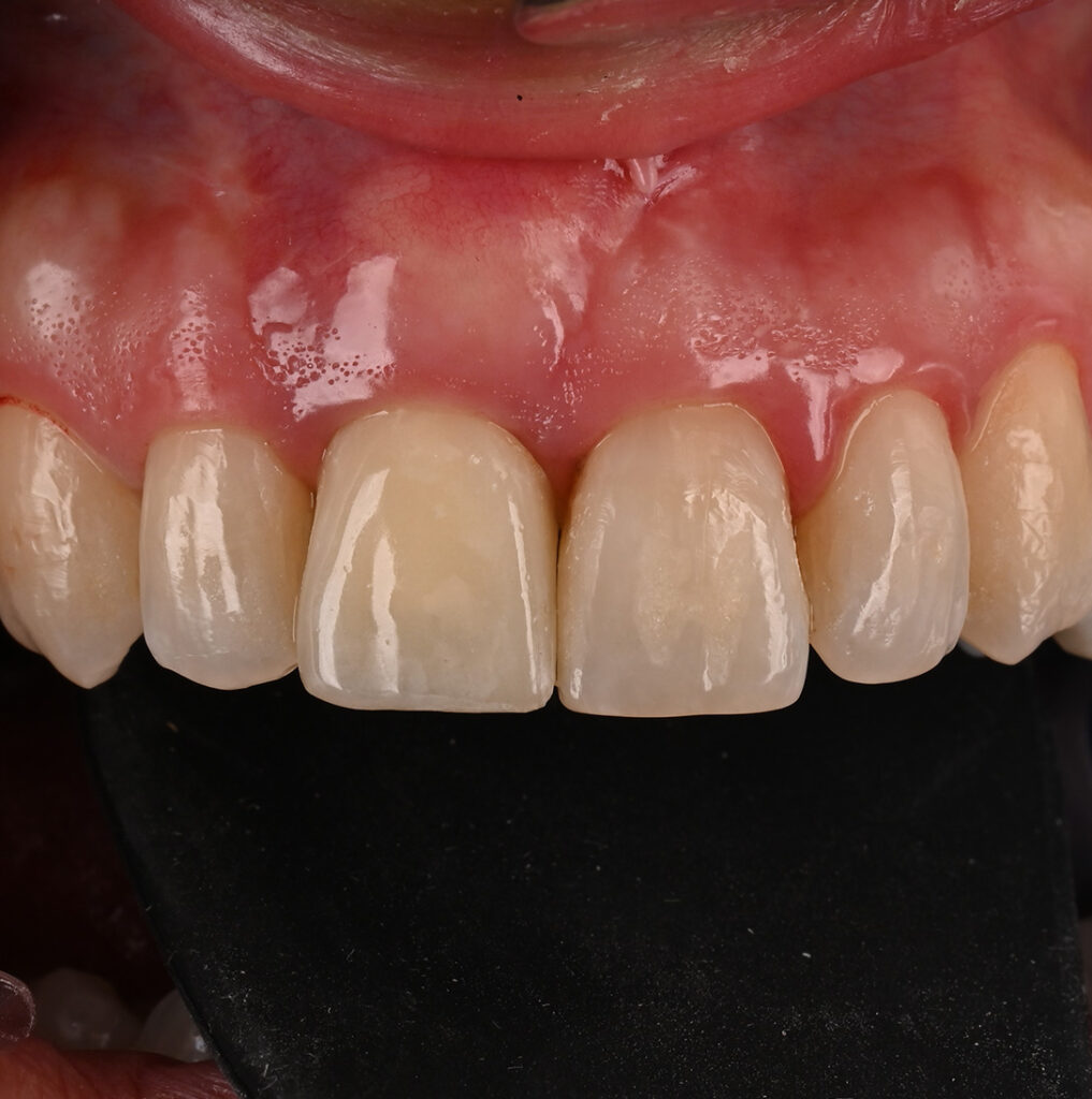
Step 3: Restoring Your Smile – Beautiful, Natural, and Yours
Once your implant has healed, the final step is attaching the custom-made crown. This completes your smile, and we’ll make sure it blends perfectly with your natural teeth.
What to expect: A seamless transition from the implant to your new tooth, restoring your confidence and function without any discomfort. You’ll leave the clinic with a smile you can feel proud of—without any of the fear or worry you might have started with.
Reclaim Your Smile: The Samarani Clinic Guide to Permanent Dental Implants
For decades, the solutions for a missing tooth—dentures and bridges—were compromises. They addressed the visible gap but often at the expense of comfort, function, and long-term health. Today, dental implants represent a paradigm shift in restorative dentistry, offering a solution that is as close to nature as modern science allows. And at Samarani Clinic, this technology is mastered by hands with over a quarter-century of expertise.
What Exactly is a Dental Implant?Think of a dental implant not as a false tooth, but as a complete prosthetic system designed to mimic your natural tooth from root to crown.
- The Root (The Implant Post): A small, incredibly strong, biocompatible titanium post is surgically placed into your jawbone. This isn’t just an anchor; it’s a new artificial root.
- The Foundation (Osseointegration): This is the magic. Over a few months, your jawbone naturally fuses with the titanium post in a process called osseointegration. This creates a rock-solid, permanent foundation that is actually stronger than a natural tooth root.
- The Crown (The Visible Tooth): Once the foundation is secure, a meticulously crafted, natural-looking porcelain crown is attached to the post. This crown is custom-shaped and shaded to blend seamlessly with your smile, making it indistinguishable from your natural teeth.
Why Choose Implants? Beyond a Simple Replacement: While dentures and bridges sit on the gum surface, implants become a part of you. This fundamental difference offers life-changing benefits:
- Prevents Bone Loss: When you lose a tooth, the jawbone that supported it begins to deteriorate from lack of stimulation. Implants are the only solution that replaces the root, providing the necessary stimulation to maintain healthy bone density and prevent the dreaded “sunken face” look often associated with tooth loss.
- Unmatched Function & Comfort: Forget about slipping, clicking, or worrying about your teeth moving when you talk, laugh, or eat. Because they are fused to your bone, implants function exactly like your own teeth. Enjoy all your favorite foods without a second thought.
- Simplified Maintenance: There are no special adhesives, no removal for soaking, and no awkward cleaning routines. You care for them just like your natural teeth: with regular brushing, flossing, and dental check-ups.
- A Lifelong Solution: While dentures and bridges may need replacement every 5-10 years, a well-placed and cared-for dental implant can last a lifetime, making it a wise and sustainable investment in your health.
- Precision Planning: We utilize advanced 3D imaging and computer-guided surgery to plan every procedure with micron-level precision, ensuring ideal implant placement for the best aesthetic and functional outcome.
- Artistic Excellence: We understand that an implant must do more than just chew; it must look perfect. Our focus on aesthetic dentistry ensures your new crown is a masterpiece of color, shape, and translucency.
- Predictable Success: With decades of experience comes the ability to handle complex cases and prevent complications, leading to predictable, successful, and worry-free outcomes for our patients.
- Comprehensive Care: From the initial consultation to the final crown placement, your entire journey is managed in-house by our expert team, ensuring continuity of care and a deeply personalized experience.